Kraniopharyngeom

Was ist ein Kraniopharyngeom?

Das Kraniopharyngeom ist ein seltener Fehlbildungstumor, der im Kindes- und Jugendalter mit einem Häufigkeitsgipfel im 10. Lebensjahr und im Erwachsenenalter mit einem Gipfel im Alter von 40 bis 50 Jahren diagnostiziert wird. Das Kraniopharyngeom stellt eine Fehlbildung dar, die vom Gewebe ausgeht, das in seiner Entwicklung bereits embryonal, das heißt, noch vor der Geburt gestört wurde. Die Gründe für diese Störung sind bislang nicht bekannt. Der auf kernspintomographischen Bildern sichtbare Tumor ist also keine bösartige Geschwulst, sondern eine Art Fehlbildung. Allerdings liegt das Kraniopharyngeom in direkter Nähe zu Gehirnanteilen, die sehr wichtig sind für die körperliche und geistige Entwicklung. Die Nähe zu Sehnerven kann zu Sehbeeinträchtigungen bis hin zum Sehverlust führen.

Benachbarte Hirnanteile wie Hirnanhangdrüse (Hypophyse) und Hypothalamus, die zentralnervöse Region des Zwischenhirns, sind für die Bildung vieler Hormone verantwortlich, die Wachstum, Gewichtsregulation, Pubertätsentwicklung und Flüssigkeitshaushalt bestimmen. Häufig bestehen die ersten Beschwerden der Patienten in Ausfallerscheinungen dieser Hormone, die durch das Kraniopharyngeom hervorgerufen werden. Darüber hinaus werden in direkter Nachbarschaft zu dem Tumor Eiweiße im Gehirn gebildet, die für den Tag-Nacht-Rhythmus, die Temperaturregulation, die Konzentrationsfähigkeit und das Essverhalten der Patienten eine wichtige Rolle spielen. Die langfristige Lebensqualität vieler Patienten wird durch die lebenslang notwendige Hormoneinnahme und ein hypothalamisch bedingtes ausgeprägtes Übergewicht beeinträchtigt.

Wer erkrankt an einem Kraniopharyngeom und warum?

Während das Kraniopharyngeom im Kindes- und Jugendalter meist einen „adamantinösen“, also stahlharten Gewebetyp mit Zystenbildung (Bildung eines oder mehrerer sackartiger Tumore) bietet, wird der Tumor im Erwachsenenalter mit einem Häufigkeitsgipfel im Alter von 50 bis 75 Jahren und vornehmlich „papillärem“, das heißt warzenartigem Gewebetyp diagnostiziert. Es handelt sich um eine Fehlbildung, die bereits vor der Geburt in der Embryonalphase entsteht. Die Gründe für die vorgeburtliche Entstehung der Fehlbildung und warum sie bei einigen Patienten im Kindesalter und bei anderen erst im Erwachsenenalter diagnostiziert wird, sind unklar. Eine erbliche Veranlagung oder familiäre Häufung ist nicht nachgewiesen.

In etwa die Hälfte aller Patienten erkrankt im Kindes- und Jugendalter. Pro Jahr werden in der Bundesrepublik Deutschland ungefähr 25 bis 30 Kinder und Jugendliche mit Kraniopharyngeom neu diagnostiziert. Das Deutsche Kinderkrebsregister registriert seit 1980 alle neu diagnostizierten Fälle.

Woran erkennt man ein Kraniopharyngeom?

Das klinische Bild bei Erstdiagnose wird häufig von unspezifischen Symptomen und Beschwerden wie z. B. gesteigertem Druck innerhalb des Schädels (Kopfschmerzen, morgendliches Nüchternerbrechen) dominiert. Weitere Zeichen sind Sehstörungen (62–84 %) und endokrine, das heißt auf das Hormonsystem bezogene Ausfälle (52–87 %). Endokrine Ausfälle betreffen die hypothalamisch-hypophysären Hormonachsen für Wachstumshormon (75 %), Gonadotropine (40 %), ACTH (25 %) und TSH (25 %). Ein Diabetes insipidus neurohormonalis besteht vor einer Operation bei 17 % der betroffenen Patienten. Störungen der Pubertätsentwicklung äußern sich als vorzeitige (Pubertas praecox) oder verspätete bzw. ausbleibende Pubertätsentwicklung (Pubertas tarda).

Wie wird das Kraniopharyngeom diagnostiziert?

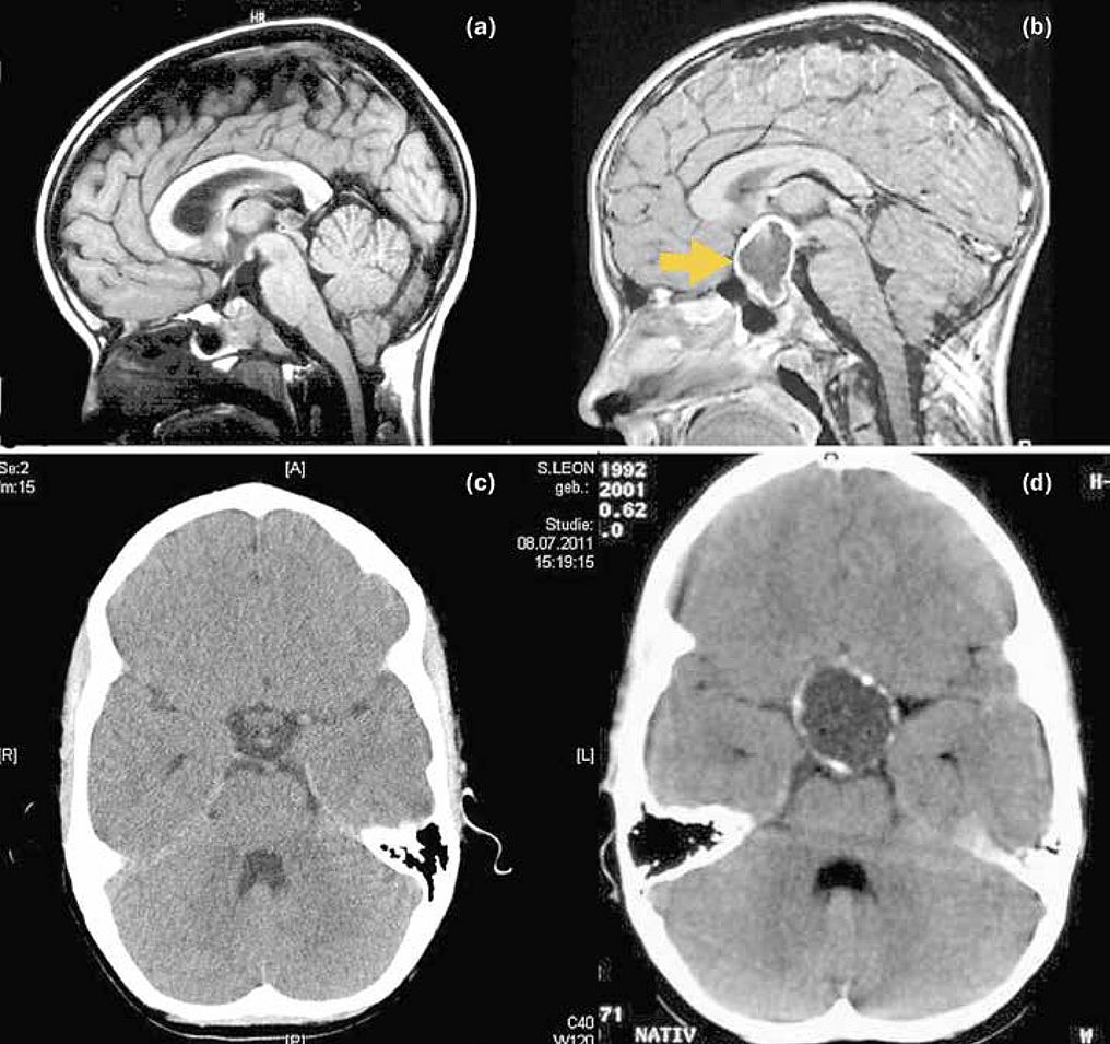
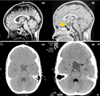
Zur Diagnosestellung und Vorbereitung des operativen Eingriffs werden die Durchführung einer Kernspintomographie (MRT) und meist auch einer Computertomographie (CT) notwendig.

Abbildung: Kernspintomographische (MRT) und computertomographische (CT) Bilder vonKraniopharyngeom-Patienten und Normalbefunde. In der Abbildung ist mit Pfeil im Vergleich zum Normalbefund (a, c) ein zystisches Kraniopharyngeom dargestellt, das im CT (d) Verkalkungen aufweist.

Wie wird das Kraniopharyngeom behandelt?

Die Behandlung des Kraniopharyngeoms erfordert einen multidisziplinären Ansatz, der die Expertise von Neurochirurgen, Endokrinologen, Onkologen und Radiologen umfasst. Da es sich um eine gutartige, aber potenziell lebensbedrohliche Fehlbildung handelt, die in der Nähe wichtiger Gehirnstrukturen liegt, zielt die Therapie darauf ab, den Tumor zu entfernen oder zu verkleinern, Symptome zu lindern und die Lebensqualität der Patienten zu verbessern. Die Hauptbehandlungsstrategien umfassen chirurgische Eingriffe, Strahlentherapie und eine lebenslange Hormontherapie zur Behandlung endokriner Ausfälle.

Hormonelle Ausfälle

Bis auf wenige Fälle, in denen die Hirnanhangdrüse (Hypophyse und Hypophysenstiel) nicht entfernt werden musste, wird der Patient nach der Operation regelmäßig und lebenslang Hormone in Form von Tabletten, Nasentropfen oder Spritzen unter die Haut nehmen müssen.

Abbildung: Kernspintomographisches Bild von Hypothalamus- und Hypophysenregion (Pfeile) und Schema zur hormonellen Regulation der Hypothalamus-Hypophysen-Achse

Hormontherapie

Die Hormontherapie ist eine wichtige Behandlungsmethode für verschiedene Erkrankungen. Hier finden Sie einige gängige Hormontherapien und ihre Verabreichungsmethoden.

Adipositas – Übergewicht

Die Lebensqualität der Patienten wird dadurch beeinträchtigt, dass mehr als die Hälfte aller Patienten an einem ausgeprägten Übergewicht leidet. In einigen Fällen führt das Kraniopharyngeom dazu, dass das Sättigungszentrum im Hypothalamus gestört ist, sodass „Heißhungerattacken“ auftreten und keine Sättigung mehr empfunden wird.

Störungen des Tag-Nacht-Rhythmus

Viele der Patienten mit hypothalamischer Beteiligung des Kraniopharyngeoms leiden an Störungen des Tag-Nacht-Rhythmus. Während in der Nacht kaum Schlaf zu finden ist, belastet tagsüber eine ausgeprägte Müdigkeit das Alltagsleben. Bei einem Teil der betroffenen Patienten konnte in Schlaflaboruntersuchungen eine „sekundäre Narkolepsie“, das heißt eine aus dem Kraniopharyngeom resultierende Schlummersucht, als Ursache der Tagesmüdigkeit nachgewiesen werden.

Zur Behandlung dieser Schlafstörung ist eine Therapie mit zentral stimulierenden Medikamenten (Methylphenidat, Modafinil) sinnvoll und notwendig. Allerdings sollte die medikamentöse Behandlung nur nach einer sorgfältigen schlafmedizinischen Untersuchung eingeleitet werden.

Die bisherigen Erfahrungen zur Therapie mit zentralen Stimulanzien zeigen, dass sich Wohlbefinden und körperliches Aktivitätsniveau der Betroffenen deutlich steigern lassen. Inwieweit diese Änderung zu einer Minderung des Übergewichts führt, ist bislang nicht geklärt.

Eine weitere Erklärung für die Müdigkeit betroffener Patienten mit Hypothalamusbeteiligung des Kraniopharyngeoms besteht darin, dass die Ausschüttung des Hormons Melatonin nicht funktioniert. Die Melatoninausschüttung wird über den Hypothalamus reguliert. Nach einem Langstreckenflug über Zeitzonen lernt man den Jetlag als häufigste Störung der Melatoninausschüttung kennen.

Sehvermögen

Aufgrund der Nähe des Kraniopharyngeoms zu Sehnerven und der Sehbahnkreuzung (Chiasma) sind Störungen der optischen Wahrnehmung (Einschränkungen der Sehschärfe und des Gesichtsfeldes) bei Kindern und Jugendlichen in über der Hälfte aller Fälle bereits vor der Operation anzutreffen.

Die typische Einschränkung des Gesichtsfeldes wird als bitemporale Hemianopsie bezeichnet. Darunter versteht man ein Gesichtsfeld, das an den äußeren Rändern deutlich eingeschränkt ist („Scheuklappenblick“). Eine Besserung des Sehvermögens nach der Operation ist in 42–48 % der Fälle gegeben.

Ein hohes Risiko für das Weiterbestehen der Sehbeeinträchtigung nach der Operation besteht dann, wenn der Tumor in der Nähe der Sehbahnkreuzung liegt und bereits vor der Operation zu schweren Beeinträchtigungen geführt hat.

Abbildung: Gesichtsfeldbefund bei Kraniopharyngeom: bitemporale Hemianopsie

Neuropsychologie/ Neurokognition

In Abhängigkeit vom Ausmaß hypothalamischer Beteiligung und begleitender neurologischer Störungen bestehen häufig Einschränkungen hinsichtlich der Konzentrations- und Merkfähigkeit sowie der emotionalen Stabilität. Gerade bei Vorliegen solcher Handicaps ist es wichtig, durch eine flexible Dosierung des Hydrocortisons in Abhängigkeit von Stresssituationen eine Verstärkung der Beschwerden zu vermeiden. Auch die sozialen Bezüge des Patienten in der Familie und zu Freunden werden durch die Einschränkungen belastet. Bedauerlicherweise existieren kaum wirksame Behandlungs- oder Trainingsmethoden, um diese Störungen zu behandeln.

Nachsorge und Rehabilitation

Die regelmäßige und langfristige Betreuung durch einen kompetenten Arzt ist eine der Voraussetzungen für eine erfolgreiche Nachsorge. Stationäre Rehabilitationsmaßnahmen bieten die Möglichkeit, im Rahmen intensiver Schulung den Umgang mit Problemen, z. B. die flexible Anpassung der Medikamente an den Alltagsbedarf, zu trainieren. Allerdings sollte darauf geachtet werden, dass die Rehabilitationsmaßnahmen an spezialisierten Kliniken erfolgen, die Erfahrungen in der Betreuung von Kraniopharyngeom-Patienten aufweisen können. Anträge auf Reha laufen über die Rentenversicherung oder Krankenkasse als Kostenträger und müssen ärztlich begründet werden.

Hilfen

Erfahrungsberichte und Fachbeiträge

Vorträge

Spannende Vorträge finden Sie in unserem Mitgliederbereich. Loggen Sie sich dazu ein oder schließen Sie eine Migliedschaft ab.

Zur Mitgliedschaft

Diese Seite wurde gefördert durch: